NEW ARTICLES
Improving access and efficiency in PhilHealth Konsulta: policy notes
Perandos-Astudillo CM, Roño RC.
2025-12-28
| HTML |
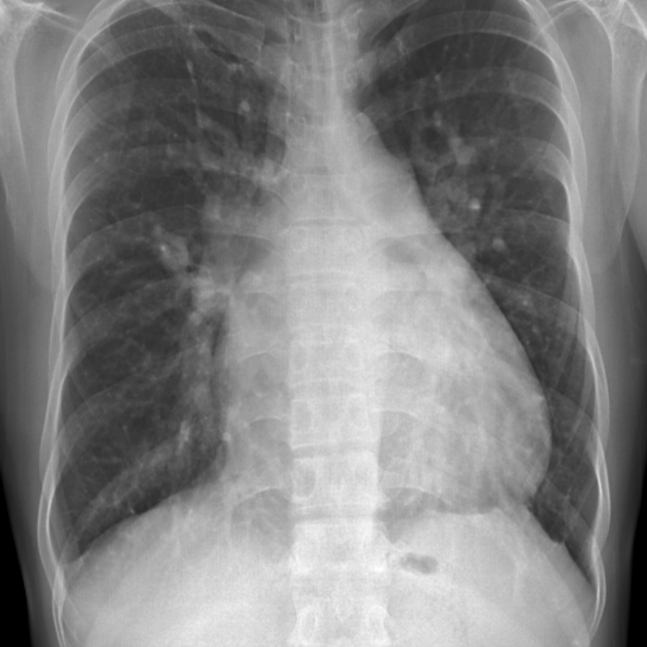
Malignant peripheral nerve sheath tumor in a pediatric patient: case in images
Amacna VB, Ramos SM.
2025-12-26
| HTML |
RECENT ARTICLES
CASE REPORTS
Primary renal Ewing sarcoma in a 15-year-old female: case report
Mirhan JL, Cardos XG, Ancheta JM.
2023-12-22
| HTML |
POLICY NOTES
Improving access and efficiency in PhilHealth Konsulta: policy notes
Perandos-Astudillo CM, Roño RC.
2025-12-28
| HTML |
Client feedback on Southern Philippines Medical Center health care services in 2023: policy notes
Buano NSI, Redaniel NMR, Castorico JLG, Perandos-Astudillo CM, Roño RC.
2024-12-27
| HTML |
INFOGRAPHICS
HEALTH CARE FOCUS
PhilHealth’s outpatient primary care package through the years
Managbanag LT, Caputol CC.
2025-12-18
| HTML |
Reshaping Surgical Intensive Care Unit services at Southern Philippines Medical Center
Ogatis RA, Valdez BEP, Ladrero CXD.
2025-10-09
| HTML |
EDITORIALS
BUCAS centers—enhancing access to urgent and ambulatory care in underserved areas across the country
Concha AS.
2024-12-20
| HTML |
MORE ARTICLES
PERSPECTIVES
Leveling up Southern Philippines Medical Center
Vega LJ, Alba-Concha MEM, Española SSB.
2019-02-07
| HTML |





